What is SCecm L?
무세포 동종진피
SCecm L(세시엠 엘)은 100% 무세포 동종진피로 만들어진 프리필드(Pre-filled) 주사제로 생체적합성이 뛰어납니다.
SCecm L(세시엠 엘)은 콜라겐(collagen), 히알루론산(hyaluronic acid), 엘라스틴(elastin) 및 각종 성장인자(growth factors)를 함유하고 있으며, 손상된 연조직의 치료및 수술 시 사용할 수 있습니다.
-
01뛰어난 생체 적합성 및
연조직 재건 효과100% 무세포 동종 진피로 생체적합성이 뛰어납니다.
신체를 구성하는 필수 콜라겐을 이용해 부작용이나 합병증이 없습니다.
손상된 조직에 생착되어 조직을 재생하는 주입형 인체조직입니다. -
02SC공법(초임계 기술)을
이용한 고품질의
Optimized Human ADM탈세포율 95%, ECM 보존율 70% 이상 이종 콜라겐에는 없는 HA, 엘라스틴, 각종 성장인자 등을 함유하고 있습니다.
-
03계면활성제
미사용 제품인체내 계면활성제 투여 시 독성을 유발할 수 있습니다.
-
04별도의 수화과정이
필요 없는 멸균
프리필드 시린지수화된 상태의 멸균 프리필드 시린지(Pre-filled Syringe)로 감염의 걱정없이 안전하고 편리하게 주입 가능합니다.
-
05Injection pain
최소화27G까지 균일하고 낮은 주입력으로
injection pain을 최소화하였습니다.
Components
Scecm L(세시엠엘)은 다양한 성분을 함유하고 있습니다.
연골, 힘줄, 인대, 피부 등을 구성하여
조직의 구조를 유지하는 단백질입니다.
세포의 신호전달의 중재자로서 조직발달 및
복구과정의 조절자(regulator)역할을 줍니다.
관절, 조직 등에 수분과 영양을 공급해줍니다.
효과적인 생체 적합성, 점막부착성, 흡습성 등으로
힘줄치유에 기여합니다. 친수성의 생체 합성
천연 물질로 보습 작용에 필수적입니다.
콜라겐을 이어주는 섬유질 단백질입니다.
인체조직 및 피부의 탄력 유지 역할을 수행합니다.
관절, 인대 등 탄력이 필요한 조직에 보충해줌으로써
기능 개선 가능합니다.
피부를 구성하는 주요 성분 중 하나이며,
성장인자 및 면역인자 등의 천연 인자를 머금고
보호합니다.
세포와 섬유성 콜라겐을 연결해주는 단백질입니다.
세포의 증식, 이동, 부착에 관여하여 상처 치유 과정에
기여합니다.
Osteoblast, fibroblast, chondrocyte 등 여러 세포의 성장 조절 인자입니다. 세포에 성장신호를 주어 세포의 성장을 촉진하며, 세포가 제 기능을 유지할 수 있도록 조절합니다.
Characteristics
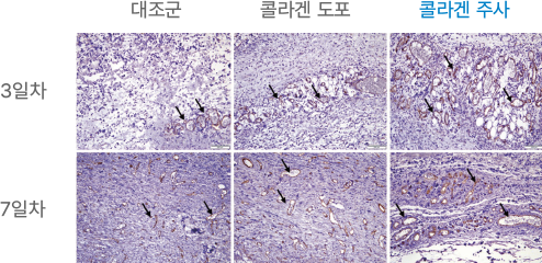
손상 조직에 콜라겐 보충(도포 및 주사) 시,7일 후 콜라겐 생성이 유의미하게 증가하였습니다.
(대조군 대비 43%, 콜라겐 도포 대비 19% 증가)
손상 조직에 콜라겐 보충(도포 및 주사) 시, 3일차부터 혈관 신생이 유의미하게 증가하였습니다.
(대조군 대비 167%, 콜라겐 도포 대비 71% 증가)
손상 조직에 콜라겐 보충(도포 및 주사) 시, 3일차부터 혈관 신생이 유의미하게 증가하였습니다.
(대조군 대비 167%, 콜라겐 도포 대비 71% 증가)
* ASES(American Shoulder and Elbow Surgeons score): 주관적 어깨 통증 및 기능 지표
* CSS(Constant Shoulder Score): 유럽에서 사용되는 어깨 평가 지표, 주관적 평가 및 이학검사 혼합 검사
* VAS(visual analogue scale score): 주관적 통증 지표
SCecm L(세시엠 엘)은 조직 및 적응증에 따라 농도 조절이 용이하며, 콜라겐 농도가 높아짐에 따라 치료효과가 상승합니다.
Injection Pain
주사 시 통증 완화
SCecm L은 균일한 입자 크기*(71.8±0.3㎛)와 일정하고 낮은 주입력으로 27G needle까지 사용 가능하여 주사 시 통증 (injection pain)을 낮출 수 있습니다.
주입력이 낮으면 큰 힘을 주지 않고도 원하는 부위에 원하는 만큼 정교한 주입이 가능하고, 급작스럽게 분출되지 않으므로 주입 시 조직 손상이 덜 하여 시술 안정성이 증가합니다.
* 분산 제형화 기술 특허(특허 출원: 10-24-00541519)로 입자의 균일한 분산 가능
Recommended Use
회전근개파열
파열 부위 초음파 유도하에 3~5회 이상 주사 권장
(1~2주 간격)
- 어깨 충돌 증후군
- 오십견
관절염
ACL, PCL 파열 부위, MCL 재건 수술 전, 인대이식술 이후 3~5회 이상 주사 권장 (1~2주 간격)
- 십자인대 파열
허리디스크
허리 인대 및 근육 강화, 척수 수술 후 재활 목적으로 3~5회 이상 주사 권장 (1~2주 간격)
- 척추관협착증
- 척추 수술 후 통증
- 척추 관절증
목디스크
통증 및 수술 후 재활 목적으로 3~5회 이상 주사 권장
(1~2주 간격)
- 일자목 증후군
- 거북목 증후군
테니스 엘보
엘보 통증 부위에 초음파 유도하에 3~5회 이상 주사 권장
(1~2주 간격)
- 골프엘보
- 손목삼각섬유 연골 파열
족저근막염
족저근막 부위 초음파 유도하에 3~5회 이상 주사 권장
(1~2주 간격)
- 아킬레스건염
- 당뇨족
- 발목 관절 손상 및 염좌

